インプラント症例報告vol.16GBR法を併用した下顎小臼歯の1例
新潟市中央区、新潟駅南の口腔外科インプラント専門クリニックのかつみ歯科口腔外科です。今回は、骨誘導再生法=GBR( Guided Bone Regeneration)法を併用した下顎小臼歯部のご紹介です。
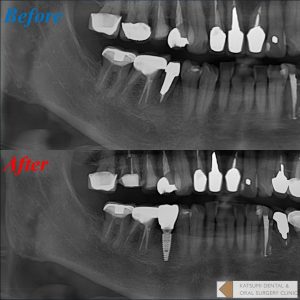
右下5番が保存不可能と言われ、インプラントを希望するも前医では骨がないためできないと断られたため当院へ来院された患者さん。同歯は歯根が露出し骨が欠損している状態。抜歯後も骨欠損に伴い顎堤も大きく陥凹。インプラント周囲に明らかに骨が不足するため、インプラント埋入と同時にGBR法による骨移植術を併用しました。GBR法とは、骨欠損部に骨補填材を充填し、メンブレンという膜で被覆することによって周囲軟組織の侵入を遮断し、骨の再生を図る術式です。当院では更にAFG(Autorogous Fibrinogen Glue)という血液の再生療法を併用しております。インプラント埋入が達成すると共に、歯肉の形態も良好であることはお分かりになると思います。
費用:抜歯11,000円、インプラント治療費見積もり(GBR法、ガイド代込)573,100円
骨が不足しているという理由で他院で断られた症例でも当院では提供可能な場合がございます。是非一度ご相談ください。


